Acute Peritonitis: A Rare Complication Revealing Intestinal Tuberculosis
Abstract
Intestinal tuberculosis diagnosis is often difficult because of non-specific symptoms, miming many other conditions such as malignancy, infectious disease, and inflammatory bowel disease.
Free intestinal perforation is an uncommon but life-threatening complication of intestinal tuberculosis, associated with high morbidity and mortality.
Author Contributions
Academic Editor: Sunder Goyal, Department of Minimal Invassive and General Surgery, Kalpana Chawla Government Medical College, Haryana, India.
Checked for plagiarism: Yes
Review by: Single-blind
Copyright © 2019 Sabbah.M, et al.
This is an open-access article distributed under the terms of the Creative Commons Attribution License, which permits unrestricted use, distribution, and reproduction in any medium, provided the original author and source are credited.
Competing interests
The authors have declared that no competing interests exist.
Citation:
Introduction
Intestinal tuberculosis diagnosis is often difficult because of non-specific symptoms, miming many other conditions such as malignancy, infectious disease, and inflammatory bowel disease.
Free intestinal perforation is an uncommon but life-threatening complication of intestinal tuberculosis, associated with high morbidity and mortality.
Case Report
A 34-year-old alcohol-smoking manpresented to the emergency department with acuteepigastric pain, associated with fever.
On examination, hisabdomen was diffusely tender with board-like rigidity, while digital rectal examination was painful.
Laboratory investigations revealed inflammatory reaction (raised white blood cell, C-Reactive protein 140mg/l), associated with hypochromic anemia.
Viral hepatitis serologies and HIV were negative.
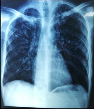
Abdomen and chest radiography showed pneumoperitoneum (Figure 1).
Figure 1.Pneumoperitoneum on chest X Ray
On emergency laparoscopy, there was purulent generalized peritonitis, without evidence of digestive perforation. Laparotomy was made, revealing twodistinct sites of ileum perforations 15cm from the ileocecal valve. There were strictures in the small intestine, with multiple mesenteric lymphadenitis.Ileocaecal resection and ileostomy were performed.
Postoperatively the Patient had Uneventful Recovery
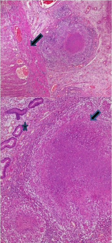
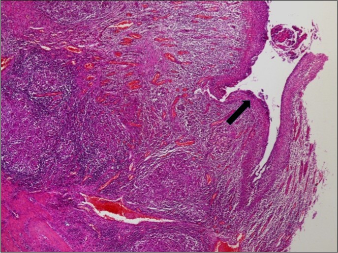
The histopathologic examination of the resected bowel specimen showedcaseating granulomatous inflammation (Figure 2), consistent with intestinal small bowel tuberculosis complicated with peritonitis and perforation (Figure 3).
The patient was started on anti-tuberculosis treatment.
Figure 2.Epithelioid granuloma and giant cells (Arrow) with caseous necrosis (Star)
Figure 3.Signs of acute peritonitis in the intestinal mucosa
Discussion
Free perforations occur in 1 to 15% of patients with intestinal tuberculosis and it is associated with mortality of about 30%. Factors linked with increased mortality were age, comorbidities, multiple perforations and delayed surgery.1
The most common site of perforation is the terminal ileum -witch is our case- while the majority(90%) of perforations are solitary.2
As surgical modality, the resection of the affected area and anastomosis may be the treatment of choice rather than primary closure.3
Conclusion
Perforation is a serious complication of intestinal tuberculosis. Only early surgical treatment can improve survival.
